Clinica Stomatologica ClamiDent Alba Iulia
Descoperiți serviciile stomatologice de top la Clami Dent, clinica stomatologică de încredere în Alba Iulia.
🦷 Ce se întâmplă dacă un canal dentar nu este curățat complet
De ce este atât de important tratamentul complet Scopul unui…
🦷 Diferența dintre tratamentul endodontic clasic și cel microscopic
Două abordări, un singur scop: salvarea dintelui Scopul tratamentului endodontic…
🦷 Cât de sigur este tratamentul endodontic microscopic
Frica de tratamentul de canal – o teamă din trecut…
🦷 Cum se vindecă osul după un tratament endodontic
Ce se întâmplă în interiorul dintelui Atunci când infecția dentară…
🦷 Ce este rezecția apicală și când este necesară
Când un tratament de canal nu este suficient Tratamentul endodontic…
🦷 Cum se tratează un dinte reinfectat după un tratament endodontic vechi
Când durerea revine după un tratament de canal Mulți pacienți…
🦷 De ce este importantă izolarea cu digă în tratamentul endodontic
Ce este digă dentară și de ce este esențială Când…
🦷 Care sunt cele mai frecvente greșeli după tratamentul de canal
Tratamentul de canal – începutul, nu finalul procesului Tratamentul endodontic…
🦷 De ce un dinte tratat endodontic are nevoie de coroană dentară
Tratamentul de canal salvează dintele, dar îl face mai fragil…
🦷 Cât durează un tratament endodontic microscopic și de ce
Durata tratamentului – o întrebare firească Una dintre cele mai…
🦷 Cum se salvează un dinte fracturat prin tratament endodontic microscopic
Un dinte fracturat nu înseamnă un dinte pierdut Mulți pacienți…
🦷 Cum alegi medicul potrivit pentru un tratament endodontic
Alegerea corectă face diferența Un tratament endodontic reușit depinde în…
Oferim o selecție vastă de tratamente dentare, de la profilaxie la proceduri avansate, toate sub un singur acoperiș.

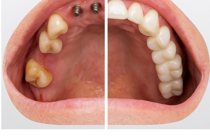
IMPLANTURI DENTARE
Obțineți un zâmbet durabil și natural cu implanturi dentare de la Clami Dent Alba Iulia. Tehnologia de ultimă oră și materialele de calitate, cum ar fi titanul biocompatibil, se combină pentru a vă oferi cea mai sigură și estetică soluție la pierderea dinților. Procesul nostru bine stabilit începe cu o consultație detaliată, urmată de plasarea precisă a implantului și se finalizează cu o coroană personalizată care se potrivește perfect cu zâmbetul dumneavoastră. Beneficiați de îmbunătățirea masticatiei și a vorbirii, prevenirea resorbției osoase și o încredere regăsită în zâmbetul dumneavoastră #ImplanturiDentareAlbaIulia #ZâmbetSănătos #ClamiDent #InovațieStomatologică


Ortodontie
Obțineți zâmbetul drept și sănătos pe care l-ați visat cu serviciile noastre specializate de ortodonție la Clami Dent Alba Iulia. Cu cele mai noi tehnologii în aparatul dentar transparent, tradițional sau personalizat, ne dedicăm să vă oferim rezultate optime în alinierea dinților. Programează-ți consultul ortodontic și începe transformarea astăzi. Vizitează-ne pentru a explora variatele opțiuni de ortodonție adaptate nevoilor tale. #OrtodonțieAlbaIulia #ZâmbetPerfect #ClamiDentOrtodonție #AparatDentarInovator


Reconstrucția Orală Completă
La Clami Dent Alba Iulia, excelența în reconstrucția orală completă îmbină precizia, inovația și îngrijirea personalizată. Specialiștii noștri sunt dedicați reabilitării funcției și esteticii orale prin tehnici avansate, oferind soluții integrate pentru cazurile complexe. Fie că aveți nevoie de coroane, punți, implanturi sau fațete, abordarea noastră holistică vizează rezultate de durată și satisfacția supremă a pacienților. #OrtodonțieAlbaIulia #ZâmbetPerfect #ClamiDentOrtodonție #AparatDentarInovator
Alegeți excelența în îngrijirea orală. Vizitați-ne pentru o experiență dentară premium!
Contact
Adresa: Strada Ion Lăncrănjan 19, Alba Iulia 510218, România
Telefon: +40 754 463 365
Email: clamident@gmail.com
- Cazuri Implant Dentar Alba Iulia
- Clinică de stomatologie
- Dentist Alba Iulia
- Endodonție la Microscop Alba Iulia
- implant dentar
- Implantologie
- Medic parodontolog implantolog
- Preturi Alba Iulia
- Probleme endodontice alba iulia
- Probleme Stomatologice Alba Iulia
- Servicii Stomatologice Alba Iulia
- Serviciu stomatologic de urgență
- stomatolog alba iulia
- Stomatolog estetician
- Stomatolog specializat în endodonție
- stomatologie alba iulia
- Tratamente Stomatologice Alba Iulia
Cabinet stomatologic Alba
Orar
| Luni | 09:30–17:30 |
| Marți | 12:00–20:00 |
| Miercuri | 09:30–17:30 |
| Joi | 09:30–17:30 |
| Vineri | 09:30–17:30 |
| Sâmbătă Duminică | Închis |
Propulsat cu mândrie de Sistemas.ro
















