Clinica Stomatologica ClamiDent Alba Iulia
Descoperiți serviciile stomatologice de top la Clami Dent, clinica stomatologică de încredere în Alba Iulia.
🦷 Ce rol are radiografia în tratamentul endodontic
Radiografia – pasul esențial înainte, în timpul și după tratament…
🦷 Cum previi reinfectarea unui dinte tratat endodontic
Un tratament reușit are nevoie de îngrijire continuă Tratamentul endodontic…
🦷 Cum alegi între tratamentul de canal și extracția dentară
O decizie importantă pentru sănătatea zâmbetului tău Când un dinte…
🦷 De ce este important controlul periodic după tratamentul endodontic
Tratamentul endodontic – un pas esențial, dar nu final Tratamentul…
🦷 De ce uneori este nevoie de mai multe ședințe în tratamentul endodontic
Tratamentul endodontic – o procedură complexă și precisă Tratamentul endodontic,…
🦷 Cum se realizează retratamentul endodontic sub microscop – pas cu pas
Ce este retratamentul endodontic Retratamentul endodontic este procedura prin care…
🦷 Cum poți recunoaște o infecție dentară ascunsă – semne care nu trebuie ignorate
Ce este o infecție dentară ascunsă O infecție dentară ascunsă…
🦷 Cât durează un tratament endodontic microscopic și ce factori influențează timpul
De ce este important timpul în tratamentul endodontic Mulți pacienți…
🦷 Cum ajută microscopul dentar la salvarea dinților
Ce este microscopul dentar Microscopul dentar este unul dintre cele…
🦷 Tratamentul endodontic la copii – este sigur?
Ce este tratamentul endodontic Tratamentul endodontic, cunoscut și ca tratament…
🦷 Ce se întâmplă dacă amâni tratamentul endodontic?
De ce un tratament endodontic nu trebuie amânat Durerea dentară…
🦷 Cum previi infecțiile dentare care necesită tratament endodontic
De ce apar infecțiile dentare O infecție dentară apare atunci…
Oferim o selecție vastă de tratamente dentare, de la profilaxie la proceduri avansate, toate sub un singur acoperiș.

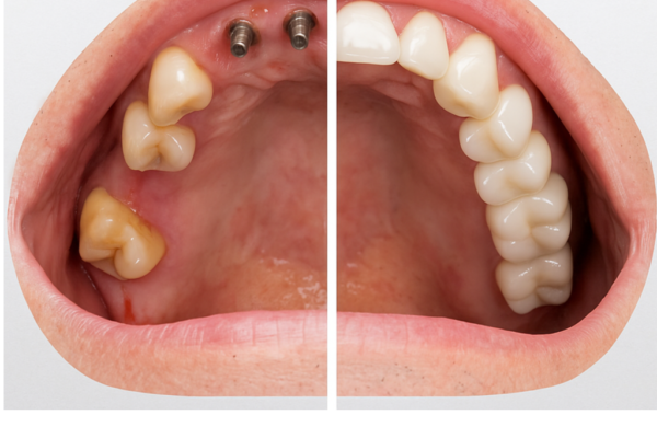
IMPLANTURI DENTARE
Obțineți un zâmbet durabil și natural cu implanturi dentare de la Clami Dent Alba Iulia. Tehnologia de ultimă oră și materialele de calitate, cum ar fi titanul biocompatibil, se combină pentru a vă oferi cea mai sigură și estetică soluție la pierderea dinților. Procesul nostru bine stabilit începe cu o consultație detaliată, urmată de plasarea precisă a implantului și se finalizează cu o coroană personalizată care se potrivește perfect cu zâmbetul dumneavoastră. Beneficiați de îmbunătățirea masticatiei și a vorbirii, prevenirea resorbției osoase și o încredere regăsită în zâmbetul dumneavoastră #ImplanturiDentareAlbaIulia #ZâmbetSănătos #ClamiDent #InovațieStomatologică


Ortodontie
Obțineți zâmbetul drept și sănătos pe care l-ați visat cu serviciile noastre specializate de ortodonție la Clami Dent Alba Iulia. Cu cele mai noi tehnologii în aparatul dentar transparent, tradițional sau personalizat, ne dedicăm să vă oferim rezultate optime în alinierea dinților. Programează-ți consultul ortodontic și începe transformarea astăzi. Vizitează-ne pentru a explora variatele opțiuni de ortodonție adaptate nevoilor tale. #OrtodonțieAlbaIulia #ZâmbetPerfect #ClamiDentOrtodonție #AparatDentarInovator


Reconstrucția Orală Completă
La Clami Dent Alba Iulia, excelența în reconstrucția orală completă îmbină precizia, inovația și îngrijirea personalizată. Specialiștii noștri sunt dedicați reabilitării funcției și esteticii orale prin tehnici avansate, oferind soluții integrate pentru cazurile complexe. Fie că aveți nevoie de coroane, punți, implanturi sau fațete, abordarea noastră holistică vizează rezultate de durată și satisfacția supremă a pacienților. #OrtodonțieAlbaIulia #ZâmbetPerfect #ClamiDentOrtodonție #AparatDentarInovator
Alegeți excelența în îngrijirea orală. Vizitați-ne pentru o experiență dentară premium!
Contact
Adresa: Strada Ion Lăncrănjan 19, Alba Iulia 510218, România
Telefon: +40 754 463 365
Email: clamident@gmail.com
- Cazuri Implant Dentar Alba Iulia
- Clinică de stomatologie
- Dentist Alba Iulia
- Endodonție la Microscop Alba Iulia
- implant dentar
- Implantologie
- Medic parodontolog implantolog
- Preturi Alba Iulia
- Probleme endodontice alba iulia
- Probleme Stomatologice Alba Iulia
- Servicii Stomatologice Alba Iulia
- Serviciu stomatologic de urgență
- stomatolog alba iulia
- Stomatolog estetician
- Stomatolog specializat în endodonție
- stomatologie alba iulia
- Tratamente Stomatologice Alba Iulia
Cabinet stomatologic Alba
Orar
| Luni | 09:30–17:30 |
| Marți | 12:00–20:00 |
| Miercuri | 09:30–17:30 |
| Joi | 09:30–17:30 |
| Vineri | 09:30–17:30 |
| Sâmbătă Duminică | Închis |
Propulsat cu mândrie de Sistemas.ro
















