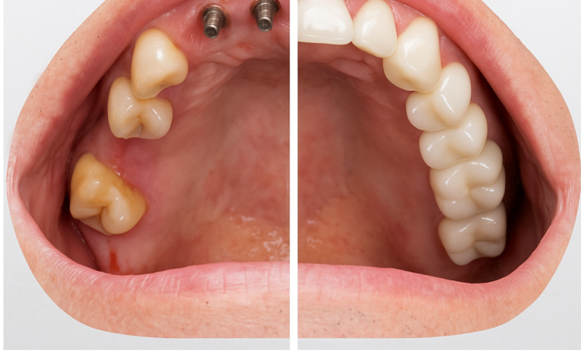
Un caz de reabilitare complexă a maxilarului superior
Un pacient s-a prezentat la Clinica Stomatologică Clami Dent Alba Iulia cu lipsa aproape totală a dinților de la arcada superioară. Situația era una dificilă:
- dificultăți în masticație,
- probleme de vorbire,
- disconfort estetic major,
- resorbție osoasă accentuată.
După consult interdisciplinar și investigații radiologice (inclusiv CBCT 3D), echipa medicală a stabilit un plan de tratament etapizat cu implanturi dentare și o lucrare protetică adaptată.
Ce înseamnă reabilitarea complexă a maxilarului superior?
Reabilitarea complexă a maxilarului superior este o abordare stomatologică ce presupune refacerea completă a funcționalității și esteticii arcadei superioare prin tratamente moderne de implantologie și protetică dentară.
Ea este indicată atunci când:
- există edentație totală sau parțială extinsă,
- pacienții prezintă dinți compromiși ce necesită extracție,
- există resorbție osoasă după pierderea dinților,
- protezele mobile clasice nu mai asigură stabilitate.
Planul de tratament pentru reabilitare maxilar superior
- Evaluarea și extracțiile – identificarea dinților compromiși și pregătirea pentru implanturi.
- Inserarea implanturilor dentare – de regulă 4–6 implanturi la arcada superioară.
- Osteointegrarea – 4–6 luni pentru integrarea implanturilor în os.
- Lucrarea protetică finală – punte fixă pe implanturi sau supraproteză pe capse/locatori.
Avantajele reabilitării complexe pe implanturi
- Restabilirea masticației și a vorbirii.
- Zâmbet natural și armonios.
- Stabilitate superioară față de proteze mobile.
- Conservarea structurii osoase.
- Rezultate durabile și confort psihologic.
Particularități ale implanturilor la maxilarul superior
- Osul maxilarului este mai moale decât mandibula.
- Uneori este necesară adiție osoasă sau sinus lift.
- Tehnici moderne precum All-on-4 / All-on-6 sunt utilizate în cazurile dificile.
Tipuri de soluții pentru reabilitare maxilar superior
- Lucrare fixă pe implanturi (cea mai stabilă variantă).
- Supraproteză pe implanturi (mai accesibilă și ușor de întreținut).
- Sisteme All-on-4 / All-on-6 (reabilitare completă cu mai puține implanturi).
Îngrijirea lucrărilor pe implanturi
- Periaj zilnic și utilizarea dușului bucal.
- Igienizări profesionale la fiecare 6 luni.
- Vizite regulate pentru control.
- Adoptarea unor obiceiuri sănătoase (fără fumat excesiv).
Întrebări frecvente
- Cât durează tratamentul? Între 4–9 luni.
- Este dureros? Nu, se face sub anestezie locală.
- Vârsta e o problemă? Nu, contează starea de sănătate.
- Dacă nu am suficient os? Se poate face adiție osoasă sau sinus lift.
De ce să alegi Clami Dent Alba Iulia?
- Experiență vastă în reabilitări complexe.
- Tehnologii moderne (CBCT, ghid chirurgical).
- Echipa medicală cu specializări multiple.
- Abordare empatică și personalizată.
Clinica Stomatologică Clami Dent Alba Iulia
📍 Adresă: Strada Ion Lăncrănjan 19, Alba Iulia 510218, România
📞 Telefon: 0754 463 365
🌐 Website: www.clamident.ro
Zâmbetul tău, bucuria noastră! Echipa Clami Dent.
Veniți să ne cunoașteți în clinica noastră de la Alba Iulia!
Strada Ion Lăncrănjan 19, Alba Iulia 510218, România +40 754 463 365
Zâmbetul tău, bucuria noastră! 😁 Echipa CLAMI DENT!
Programări: 0754463365
